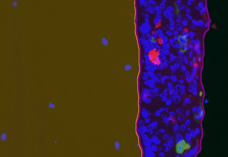
APP CENTER | Predefined Analysis Workflows IF Artificial Skin Stratify skin equivalents into dermis and epidermis, segment the stratum corneum, TissueGnostics View
APP CENTER | Predefined Analysis Workflows IF Cardio Cell Culture Dots Segment cultured cardiac cells, detect cardiomyocytes and fibroblasts, and quantify dot markers (CISH/FISH) pe... TissueGnostics View