customercare@cornellmed.com
sales@incise.in
|
+91-9667161742
,
+91-9667135142
Follow Us On
Products
OPTOS (UWF Fundus Camera)
MonacoPro
California ICG
Silverstone RGB
Daytona NG
Nikon (Microscopic Solutions)
Inverted Microscope
Upright Microscope
Polarizing Microscopes
Stereo Microscopes
Cameras
Software
Accessories
Linkam (Heating and Cooling Stages)
Stages
Applications
CrestOptics (Spinning Disk Confocal)
DeepSIM
X-Light V3
X-Light V2
CICERO
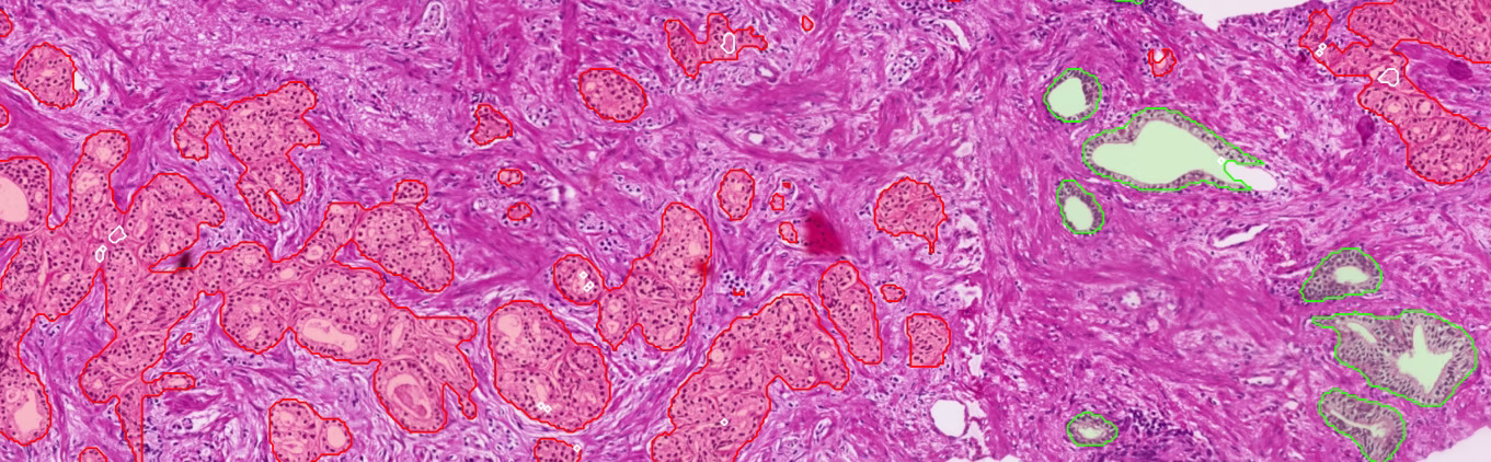
Qritive (AI based Cancer Detection)
Pantheon
QAi Prostate
Other AI Modules
Tomocube (3D Microscopic Imaging)
Holotomography
Tomo Analysis
Accessories
Hamamatsu (High QE Camera)
Cameras
TissueGnostics (Tissue Cytometry)
TISSUEFAXES | Modular Imaging Platform
COLUBRIS | Boxed All-in-One Imaging
STRATAQUEST | Image Analysis
APP CENTER | Predefined Analysis Workflows
CoolLED (Fluorescence Illumination)
pE-800 Series
pE-400 Series
pE-400
pE-300 Series
pE-100
pT-100
Accessories
Support & Services
Events
About Us
Contact Us
Pantheon
Browse products
Home
/
Products
/
Pantheon
Pantheon
PANTHEON
AI-DRIVEN PLATFORM TRANSFORMING DIGITAL PATHOLOGY WORKFLOWS
Qritive
View
Pantheon
QAi Prostate
QAi Prostate Dx & QAi Prostate Grade
Qritive
View
Chat on WhatsApp
Microscope
Optos
Quick Query
Your name
*
Please enter your name.
Email
(optional)
Please enter a valid email.
Phone
(optional)
Message
*
Please add a short message.
By submitting you agree we may contact you about your query.
Thanks! Your query has been submitted. We’ll get back to you shortly.