AI MODULES FOR CANCER DIAGNOSTICS

QRITIVE’S EXTENSIVE PORTFOLIO OF AI MODULES ACROSS DIVERSE DIAGNOSTIC AREAS
AI MODULES FOR CANCER DIAGNOSTICS

Gallery

Product image
Product image
Product image
Product image

Overview

Qritive offers a suite of AI-powered diagnostic modules designed to support pathologists across a broad range of clinical applications—from cancer diagnosis and metastasis detection on Hematoxylin and Eosin (H&E) stained whole-slide images (WSI) to biomarker analysis on immunohistochemistry (IHC) WSI.​

These modules deliver fast, accurate, and reproducible results by analyzing entire whole-slide images within seconds. Seamlessly integrated into digital pathology workflows, they help reduce interpretation variability, streamline reporting, and support confident decision-making across different tissue types and diagnostic challenges.​

Explore our AI module portfolio tailored to meet the needs of modern pathology.

Specifications

Qritive AI Product Portfolio
 
Product / Module Core Functionality Key Features & Technology Clinical Impact
QAi Colon Dx Colon Cancer Diagnosis • Identifies benign, dysplastic, and malignant regions
• Uses deep learning on digitized biopsies
• Enhances diagnostic precision
• Reduces variability and manual interpretation errors
QAi Lymph Node Dx Metastasis Detection • Detects macro- and micrometastatic deposits
• Directs attention precisely to high-risk areas
• Improves cancer staging and prognosis
• Significantly reduces metastatic screening time
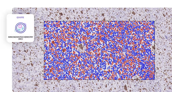
IHC Biomarker Quantification Biomarker Scoring • Quantifies Ki-67, HER2, and PD-L1
• Supports IHC Whole-Slide Images (WSI)
• Provides objective scoring for treatment decisions
• Aligns results with global clinical guidelines

 

Product Brochure

Download detailed specifications & features.

Contact Us

Thanks! Your query has been submitted. We’ll get back to you shortly.